رفتن به مطلب

ارسال های توصیه شده

ارسال شده در

[h=1]چرا لثه ها آب می روند؟[/h]


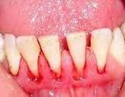
واژه تحلیل لثه زمانی به كار می‌رود كه لبه بافت نرم لثه از موقعیت اولیه خود روی تاج دندان به سمت ریشه حركت كند و این جابه‌جایی همراه با عریان‌شدن سطح ریشه دندان باشد.
631962513483174580474318142211147217221.jpg

تحلیل لثه یکی از مشکلاتی است که خیلی‌ها را درگیر می‌کند و البته خیلی‌ها هم هستند که از این بیماری می‌ترسند و حتی پیش از آن‌که اتفاق بیفتد، نگرانش می‌شوند. برای همین ممکن است بیشتر از قبل مسواک بزنند و از

برای مشاهده این محتوا لطفاً ثبت نام کنید یا وارد شوید.
و
برای مشاهده این محتوا لطفاً ثبت نام کنید یا وارد شوید.
استفاده کنند، در حالی‌ که مسواک بیش از حد یا استفاده نادرست از نخ دندان نه‌تنها به بهبود شرایط کمکی نمی‌کند که حتی می‌تواند وضعیت را بدتر کند.

 

برای همین باید بدانیم تحلیل لثه چیست و به چه دلایلی ایجاد می‌شود تا بدرستی بتوانیم از بروز این مشکل پیشگیری کنیم.

 

تاج مینادار و ریشه سمان‌دار دندان در محلی به نام CEJ با یکدیگر تماس پیدامی‌کنند که در حالت طبیعی انتظار می‌رود، لبه لثه حدود یک تا دو میلی‌متر بالاتر از این قسمت قرار بگیرد.

 

 

 

البته این قانون طبیعی درباره همه افراد صدق نمی‌کند و لبه لثه بعضی‌ها بالاتر از این محدوده قرار دارد. لثه برخی دیگر هم ممکن است ابتدا سر جای خودش و بالاتر از مینای دندان باشد، اما به مرور زمان و با شروع تحلیل لثه، پایین می‌آید و حتی می‌تواند به لبه مینا یا ریشه دندان برسد.

 

مطالعات متعدد نشان داده اند که یک لثه عریض و ضخیم نسبت به یک لثه باریک و نازک، قدرت حفاظتی بیشتری در مقابل نفوذ عوامل میکروبی دارد.

 

 

 

تحلیل لثه؛ آشکار و پنهان

 

 

گاهی تحلیل لثه قابل مشاهده است و مردم متوجه آن می‌شوند، اما خیلی وقت‌ها شرایطی پیش می‌آید که تحلیل لثه اتفاق می‌افتد، ولی دیده نمی‌شود.

 

اغلب کسانی که به دلیل تحلیل لثه به دندانپزشکان مراجعه می‌کنند، با تحلیل لثه آشکار مواجه هستند و زمانی که می‌بینند لبه لثه از روی مینا حرکت کرده و به ریشه رسیده، از متخصصان مشورت می‌خواهند.

 

 

 

در تحلیل پنهان هم چنین اتفاقی رخ می‌دهد و اتصال دندان به لثه و استخوان از بین می‌رود، اما این وضع قابل مشاهده نیست و فرد نمی‌تواند آن را ببیند.

تجمع میکروب ها در دهان، باعث ایجاد پلاک دندان و به مرور جرم دندان می شود که نقش مهمی در تحلیل لثه دارند

 

 

تحلیل لثه، سن و سال نمی‌شناسد

تحلیل لثه معمولا در افراد بزرگسال و کسانی که دوره جوانی را طی کرده‌اند، رخ می‌دهد، اما بیماری‌های خاصی هم وجود دارد که افراد را در سنین پایین‌تر درگیر می‌کند و می‌تواند موجب بروز چنین مشکلاتی شود.

 

 

 

بنابراین گاهی ممکن است در سنین پایین و قبل از هجده سالگی هم شاهد چنین مشکلاتی باشیم، اما در اغلب موارد، میان کودکان بندرت چنین اتفاقی می‌افتد و اگر هم بیماری دیده شود، معمولا همراه با دیگر بیماری‌های سیستمیک است.

 

 

 

رعایت نکردن بهداشت دهان و یا افراط در آن

 

 

وقتی درباره بیماری‌های دهان و دندان صحبت می‌شود، همیشه موضوع رعایت بهداشت هم مطرح است؛ به طوری که هرچه بهداشت بهتر و دقیق‌تر رعایت شود، احتمال بروز بیماری دهان و دندان کمتر خواهد شد. تحلیل لثه هم از این قانون پیروی می‌کند و رعایت بهداشت نقش مهمی در این باره دارد.

 

میکروب‌ها به علل مختلف و متفاوتی که مهم‌ترین‌شان رعایت نکردن بهداشت دهان و دندان است، در دهان تجمع پیدا می‌کنند و زمانی که نظافت رعایت نشود، این تجمع میکروبی پیشرفت خواهد کرد.

 

تجمع میکروب ها، باعث ایجاد

برای مشاهده این محتوا لطفاً ثبت نام کنید یا وارد شوید.
و به مرور
برای مشاهده این محتوا لطفاً ثبت نام کنید یا وارد شوید.
می شود که نقش مهمی در تحلیل لثه دارند.

 

عامل اصلی ایجاد تحلیل‌های پنهان، تجمع میکروبی در دهان است. زمانی که عوامل دیگری مانند

برای مشاهده این محتوا لطفاً ثبت نام کنید یا وارد شوید.
و وارد‌ کردن فشار بیش از حد به دندان‌ها به رعایت نکردن بهداشت دهان اضافه شود، تخریب بسیار شدیدتری اتفاق خواهد افتاد.

 

اما علاوه بر این، اغلب کسانی که بیش از حد بهداشت را رعایت می‌کنند و حالتی افراطی در این زمینه دارند، در معرض خطر قرار می‌گیرند. مثلا کسانی که از

برای مشاهده این محتوا لطفاً ثبت نام کنید یا وارد شوید.
استفاده می‌کنند و به جای این‌که از روش‌های علمی و صحیح برای تمیز‌کردن لثه‌ها کمک بگیرند، لثه را به صورت افقی و محکم می‌سایند، در معرض خطر تحلیل لثه آشکار قرار خواهند داشت.

همین سایش رو به جلو و عقب لثه‌ها با مسواک سفت و سخت، باعث تخریب نسوج نگهدارنده دندان و بافت‌های لثه‌ای می‌‌شود و به مرور زمان منجر به تحلیل لثه‌ها می‌‌شود.

 

دخالت عوامل سیستمیک

 

 

فقط علل موضعی نیست که می‌تواند باعث تحلیل لثه شود، بلکه عوامل سیستمیک هم در این زمینه نقش دارند. زمانی که تعادل بین قدرت التیام بدن و قدرت تخریب میکروب‌ها به هم بخورد، بدن نمی‌تواند نقش ترمیمی‌اش را به خوبی گذشته انجام دهد.

 

کسانی که دچار بیماری‌های مختلف مانند کم‌خونی، دیابت و سرطان هستند و به هر دلیلی

برای مشاهده این محتوا لطفاً ثبت نام کنید یا وارد شوید.
، قدرت التیام کمتری دارند و در نتیجه تخریب‌ها بیشتر و شدیدتر در بدنشان اتفاق می‌افتد.

 

 

 

عامل اصلی را برطرف کنید

 

 

زمانی که تحلیل لثه ایجاد می‌شود، اولین قدم برای درمان، از بین بردن عامل اصلی ایجادکننده مشکل است. زمانی که عوامل سیستمیک و موضعی حذف شود، مشکل بیمار هم تا حد زیادی برطرف خواهد شد و در بسیاری مواقع حتی به درمان خاصی هم نیاز نداریم.

 

در صورتی که مشکل همچنان ادامه داشته باشد، با نظر دندانپزشک می‌توانید از روش‌های درمانی مختلف کمک بگیرید که این روش‌های درمانی می‌تواند از جرمگیری ساده تا جراحی‌های پیشرفته متغیر باشد.

به جای مسواک زدن محکم با یک مسواک سفت و خشن و به روش افقی ، مسواک زدن عمودی با یک مسواک فوق‌العاده نرم و با فشار دست مناسب توصیه می‌شود

 

 

 

درمان تحلیل لثه؛ قدم به قدم

 

اولین قدم برای توقف یا کنترل پیشرفت تحلیل لثه، درمان هر گونه التهاب بافت لثه است که این کار با برداشتن جرم و پلاک میکروبی از روی سطح ریشه دندان توسط عمل

برای مشاهده این محتوا لطفاً ثبت نام کنید یا وارد شوید.
صورت می گیرد.

 

گام بعدی این است که در بیماران دچار تحلیل لثه باید عادات غلط بهداشت دهان تصحیح شود. به عنوان مثال به جای مسواک زدن محکم با یک مسواک سفت و خشن و به روش افقی ، مسواک زدن عمودی با یک مسواک فوق‌العاده نرم و با فشار دست مناسب توصیه می‌شود.

 

باید توجه داشت که حین مسواک زدن، هم لثه و هم دندان ماساژ ملایم داشته باشند. در ضمن بهتر است که خمیردندان مصرفی نرم و تا حدامکان فاقد ذرات ساینده باشد (

برای مشاهده این محتوا لطفاً ثبت نام کنید یا وارد شوید.
نباشد).

 

در ارتباط با دندان‌هایی که خارج بودنشان در قوس فک، زمینه‌ساز تحلیل لثه شده می‌توان از

برای مشاهده این محتوا لطفاً ثبت نام کنید یا وارد شوید.
برای ردیف‌کردن دندان در قوس فک استفاده کرد و با این کار انتظار برطرف شدن خوبه‌خودی تحلیل را حتی بدون نیاز به جراحی پیوند داشت.

 

وقتی کار از کار می گذرد

 

 

اما موارد زیادی هم وجود دارد که تحلیل لثه به وجود آمده دیگر قابلیت برگشت خودبه‌خودی را ندارد. در این حالت

برای مشاهده این محتوا لطفاً ثبت نام کنید یا وارد شوید.
و بازسازی بافت نرم توسط تکنیک‌های مختلف جراحی توصیه می‌شود.

 

زمانی که در اثر تحلیل لثه، ریشه‌های عریان در دهان ایجاد می‌شود، طول تاج دندان‌ها طویل‌تر می‌شود و هنگام خندیدن و تکلم فرد ایجاد ظاهری نازیبا می‌کند. چنین فردی همواره آرزو دارد که توسط پوشاندن یک یا تعداد بیشتری از ریشه‌های دندان‌هایش، زیبایی را به چهره خود برگرداند.

 

در ضمن دندان‌های دارای تحلیل معمولا دارای حساسیت ریشه نسبت به غذاهای گرم و سرد هستند و امکان ایجاد پوسیدگی روی این ریشه‌ها هم وجود دارد.

 

بنابراین در درمان قطعی این‌گونه تحلیل‌ها ابتدا باید عوامل ایجاد‌کننده تحلیل لثه را تحت کنترل قرار داد و بعد با استفاده از جراحی و عمل پیوند نسج نرم نقص موجود را رفع و از بروز تحلیل بیشتر لثه و تخریب بیشتر استخوان زیرین جلوگیری کرد.

 

 

 

پیوندهای نسج نرم می‌توانند برای پوشش ریشه‌ها یا افزایش عرض و ضخامت لثه در ناحیه به کار روند. حین جراحی،

برای مشاهده این محتوا لطفاً ثبت نام کنید یا وارد شوید.
با گرفتن پیوند از سقف کام یا سایر نواحی دهنده در دهان، سعی در پوشاندن ریشه‌های دندان دارد. این عمل می‌تواند برای یک یا چند دندان در یک جلسه یا تعداد جلسات متعدد استفاده شود.

 

مزایای پیوند لثه

 

 

- تحلیل و تخریب استخوانی بیشتر کاهش می‌یابد.

- با این عمل امکان پوشش ریشه‌های عریان فراهم می‌شود.

- با پوشش این ریشه‌ها میزان پوسیدگی ریشه کاهش می‌یابد.

- حساسیت ریشه دندان‌ها به مایعات گرم و سرد کمتر می‌شود.

- چهره فرد هنگام لبخند زدن زیباتر می‌شود.

×
×
  • اضافه کردن...