رفتن به مطلب

ارسال های توصیه شده

ارسال شده در

تحلیل لثه سبب لق شدن دندان‌ها می‌شود، چرا که استخوان اطراف دندان تحلیل می‌رود. بنابراین دندان خیلی راحت کشیده شده یا می‌افتد.


129782195163466025461117207112212124157.jpg

دکتر اکبر فاضل، دندانپزشک درباره بیماری‌های لثه گفت:

 

 

«

برای مشاهده این محتوا لطفاً ثبت نام کنید یا وارد شوید.
بیماری‌هایی هستند که نسوج اطراف دندان را مبتلا می‌کنند. عامل این بیماری‌ها نیز میکروبی است.

 

این میکروب ها روی لثه و دندانی که پلاک دارد جمع می شوند، زیرا این گونه مکان‌ها، محل مناسبی برای رشد میکروب ها و تکثیر آنهاست.

 

لثه سالم لثه‌ای است که محکم است و مانند پوست پرتقال، فرورفتگی هایی دارد. رنگ لثه سالم باید صورتی باشد، بنابراین چنانچه رنگ لثه به سمت قرمز متمایل شد، هشداری درباره بیماری آن است.

 

البته در بعضی موارد ممکن است بخشی از لثه قرمز باشد که عادی است، اما اگر دیدید لثه با اندک اشاره‌ای دچار خونریزی شد و یا ورم دارد و یا پای دندان‌ها فضا وجود دارد، باید با مسواک زدن، لثه را به حالت عادی برگرداند.

 

در ابتدای مسواک زدن ممکن است

برای مشاهده این محتوا لطفاً ثبت نام کنید یا وارد شوید.
، ولی این موضوع اصلا نگران کننده نیست، بلکه باید مسواک زد تا این خون‌ها خارج شوند، چرا که اینها، خون‌های چرکی است و اگر مرتب مسواک بزنید، از بین می‌رود.

 

رشد میکروب‌ها باعث تولید سموم میکروبی می‌شود. این مواد روی عروق لثه‌ای تاثیر می‌گذارد و باعث التهاب می‌شود و سیستم ایمنی بدن نیز که در صدد دفاع از لثه است وارد کارزار می‌شود و این مسئله ورم و التهاب را بیشتر می کند. هر چه این ورم و التهاب بیشتر شود، محل تجمع مواد غذایی و میکروبی را بیشتر می‌کند و این سیکل ادامه پیدا می‌کند و التهاب بیشتر می‌شود.

 

علاوه بر این وجود

برای مشاهده این محتوا لطفاً ثبت نام کنید یا وارد شوید.
نیز می‌تواند عامل بیماری‌های لثه باشد. این جرم مواد معدنی بزاق دهان است که پای دندان‌ها می‌نشیند که در ابتدا به صورت نرم وجود دارد و در صورت انجام ندادن اقدامات بهداشتی دهان و دندان، این جرم‌های نرم، سفت می شوند.

 

 

بهترین راه پیشگیری از بیماری پیوره، استفاده از مسواک و نخ دندان است

 

 

 

مجموعه پلاک میکروبی و جرم‌ها باعث می‌شود که عفونت لثه‌ای تشدید شود و به دنبال آن لثه اطراف ریشه دندان تحلیل برود، یعنی بیماری لثه به دنبال شکل‌گیری مجموعه‌ای از میکروارگانیسم‌ها، میکروب‌های اسید دوست، پلاک میکروبی و جرم به وجود می‌آید که در مکان شکل‌گیری این مجموعه، التهاب و ورم لثه را خواهیم داشت و در ادامه به صورت چرکی شدن لثه خود را نشان می‌دهد که این را پیوره می‌گویند.

از آنجا که لثه محافظ ریشه دندان است و ریشه دندان را احاطه کرده است، اگر لثه تحلیل برود، نسبت طول تاج به ریشه تغییر می‌کند. بنابراین طول تاج بیشتر خود را نشان می‌دهد، چنانچه در افراد مسن دندان‌هایشان بلندتر دیده می‌شود، چرا که لثه تحلیل رفته است.

 

تحلیل لثه سبب لق شدن دندان‌ها می‌شود، چرا که استخوان اطراف دندان تحلیل می‌رود. بنابراین دندان خیلی راحت لق شده یا می‌افتد.

 

باید با استفاده از مسواک و نخ دندان، از تشکیل پلاک غذایی- میکروبی روی دندان‌ها پیشگیری کرد و به این شکل از تجمع میکروب‌ها پیشگیری می کنیم و در نتیجه نخواهیم گذاشت میکروبی رشد کند و عفونتی شکل بگیرد.»

 

 

 

14870215231230117841682726162701572589220.jpg

 

 

 

 

 

 

 

 

 

پیوره چیست؟

 

 

 

بیماری پریودنتیت (Periodontal disease) که در قدیم به نام پیوره خوانده می شد، یک بیماری مربوط به لثه می باشد.

 

بیماری پریودنتیت، به عفونت و تخریب انساج نگهدارنده دندان که شامل لثه و استخوان می باشد گفته می شود.

 

علایم پیوره شامل خونریزی و

برای مشاهده این محتوا لطفاً ثبت نام کنید یا وارد شوید.
، بوی بد دهان، درد مبهم در فک ها، احساس درد بین دندان ها، احساس خارش لثه، تمایل به فرو بردن خلال دندان در بین دندان ها، ترشح چرک از لثه، لق شدن دندان، جابجا شدن دندان ها، گیر کردن غذا بین دندان ها، آبسه لثه و … است.

 

 

 

پلاک میکروبی و جرم دندان چیست؟

 

 

برای مشاهده این محتوا لطفاً ثبت نام کنید یا وارد شوید.
لایه ای است نازک از میکروب ها که بطور دائم بر سطح دندان ها می نشیند.

 

این لایه دارای مواد پروتئینی و سلول های پوششی و موادی دیگر با منشا بزاقی است، اما ساختمان اصلی آن از میکروب ها تشکیل شده است.

 

این لایه با آب برطرف نمی شود و باید با مسواک و نخ دندان آن را از سطح دندان تمیز کرد.

 

این در حالی است که با سخت شدن تدریجی پلاک میکروبی و رسوب املاح بزاق دهان روی آن، لایه ای به نام جرم تشکیل می شود که به علت داشتن سطح زبر، مقادیر بیشتری پلاک میکروبی را بر سطح خود نگه می دارد.

 

از مهم ترین بیماری های لثه می توان به التهاب لثه (

برای مشاهده این محتوا لطفاً ثبت نام کنید یا وارد شوید.
) و پریودونتیت یا همان تخریب بافت های نگهدارنده و استخوان اطراف دندان اشاره کرد که عامه مردم به آن پیوره می گویند.

 

بهترین راه پیشگیری از بیماری پیوره، استفاده از

برای مشاهده این محتوا لطفاً ثبت نام کنید یا وارد شوید.
و نخ دندان است.

 

حداقل دفعات توصیه شده برای مسواک زدن دو بار و استفاده از

برای مشاهده این محتوا لطفاً ثبت نام کنید یا وارد شوید.
یکبار در روز است، اما از آنجا که روش صحیح مسواک زدن و استفاده از نخ دندان بیش از تعداد آن اهمیت دارد، بهتر است روش صحیح را از یک دندانپزشک بیاموزید.

 

بخاطر داشته باشیم همیشه پیشگیری از درمان بهتر است، پس با رعایت دقیق بهداشت دهان سعی کنیم از بروز بیماری های لثه پیشگیری کنیم و از آنجا که عامل اصلی تمام بیماری های لثه، پلاک میکروبی است، پیش از ایجاد و پیشرفت بیماری در رفع آن بکوشیم.

 

 

فرآوری : نیره ولدخانی

بخش سلامت

 

ارسال شده در

[h=1]دلیل افتادن دندان‌ها[/h]


افتادن دندان شیری طبیعی است، ولی از دست دادن دندان دائمی، عادی نیست. حتی می توان جلوی از دست دادن دندان ها در دوران پیری را گرفت.


15786542421137195251231226250712082292127.jpg

نداشتن دندان، مشکلات متعددی در پی دارد، کیفیت زندگی افت پیدا می کند و به دلیل کاهش توانایی جویدن غذاها، انتخاب غذاها محدود می گردد، یعنی نداشتن دندان باعث می شود غذاها را درست نجویم، لذا هر غذایی را دیگر نمی توانیم بخوریم.

 

نداشتن دندان روی وضعیت تغذیه ای و در نتیجه سلامت کل بدن اثر می گذارد. همچنین باعث فرورفتگی صورت، بدجور صحبت کردن و ... می شود.

 

از دست دادن دندان ها، دلایل متعددی دارد که افزایش سن از آنها نیست. در اینجا تعدادی از این دلایل را بیان می کنیم.

 

 

 

1- بهداشت بد دهان و دندان: تمیز نگه نداشتن دهان دندان ها باعث می شود باکتری های تولیدکننده اسید روی سطح دندان جمع شوند (

برای مشاهده این محتوا لطفاً ثبت نام کنید یا وارد شوید.
) و با از بین بردن مینای دندان، سوراخ هایی در دندان ایجاد کنند.

 

 

 

همچنین باعث

برای مشاهده این محتوا لطفاً ثبت نام کنید یا وارد شوید.
می شوند که بافت نگهدارنده دندان مثل رباط ها و استخوان ها را تخریب می کند. اینها باعث افتادن دندان می شود.

 

 

 

2- حتی با رعایت بهداشت دهان و دندان، بایستی هر شش ماه یک بار نزد

برای مشاهده این محتوا لطفاً ثبت نام کنید یا وارد شوید.
بروید تا دندان های شما را معاینه کند.

 

 

مراجعات نامنظم و دل بخواهی به دندانپزشک باعث می شود علائم هشداردهنده از دست دادن دندان را متوجه نشویم.

 

 

 

ممکن است شما پلاک های سختی را که زیر خط لثه وجود دارند، نبینید و یا حرکت جزیی دندان خود را متوجه نشوید که این موارد نیاز به درمان تخصصی دندانپزشکی دارند. اگر درمان به موقع شروع شود، می توان دندانی را که کمی حرکت کرده است، نگه داشت و حفظ کرد.

 

 

اگر دندان افتاده جایگزین نشود (با بریج یا ایمپلنت یا دندان مصنوعی)، دندان های کناری و مقابل آن (در فک دیگر) وارد فضای خالی آن می شوند و مشکلات لثه را ایجاد می کنند که منجر به افتادن بقیه دندان ها می شود

 

 

 

3- درمان به موقع از آسیب های بزرگ بعدی جلوگیری خواهد کرد.به عنوان مثال پر کردن

برای مشاهده این محتوا لطفاً ثبت نام کنید یا وارد شوید.
، از آسیب بیشتر آن مثل رسیدن پوسیدگی به عصب دندان جلوگیری خواهد کرد. آسیب
برای مشاهده این محتوا لطفاً ثبت نام کنید یا وارد شوید.
باعث مرگ بافت پالپ و تجمع چرک در اطراف ریشه دندان می شود. اگر دندان خیلی آسیب دیده باشد، دندانپزشک دیگر نمی تواند آن را نگه دارد و باید آن را کشید.

 

 

 

4- تغذیه ناکافی و نادرست به دلیل کمبود مواد مغذی در برنامه غذایی، مقاومت دهان و دندان ها را به عفونت کم می کند.

برای مشاهده این محتوا لطفاً ثبت نام کنید یا وارد شوید.
، مسئول فشردگی املاح در استخوان نگهدارنده دندان است. دریافت کم کلسیم روی حفظ دندان ها موثر است و با افزایش خطر از دست دادن دندان ها ارتباط دارد.

 

 

 

به علاوه، مصرف زیاد مواد غذایی شیرین (مثل آب نبات، شکلات و...) و غذاهای اسید (مثل نوشابه گازدار)، دندان ها و لثه های شما را خراب می کند.

 

 

 

5- آیا برای شما اتفاق افتاده است که در کودکی بر اثر زمین خوردن و یا افتادن از جایی، دندان خود را از دست داده باشید. حتی اگر بعد از یک حادثه و وارد آمدن ضربه به دهان، دندان نیفتد، ممکن است باعث ترک خوردگی ریشه شود که چند ماه یا چند سال بعد باعث عفونت دندان می شود. عفونت باعث از بین رفتن ریشه دندان و در نتیجه افتادن دندان می شود.

 

 

 

ورزش های برخوردی مثل بوکس، فوتبال و... نیز باعث وارد آمدن ضربه دندان و در نتیجه شکستگی یا آسیب دندان و افتادن آن می شوند.

 

 

 

6-

برای مشاهده این محتوا لطفاً ثبت نام کنید یا وارد شوید.
: به هم ساییدن دندان ها در دندان قروچه باعث ترک برداشتن و ساییدن و شکستن دندان ها می شود و فشار زیادی روی بافت نگهدارنده دندان وارد می کند و باعث از بین رفتن استخوان اطراف دندان می شود. اگر استخوان نگهدارنده دندان از بین برود، دندان شل می شود و می افتد.

941113017971713316217820310419215218849.jpg

7- جایگزین نکردن دندان افتاده باعث ایجاد یک سری مشکلات می شود که دندان های دیگر را تخریب می کند. وقتی یک دندان می افتد و یا کشیده می شود، استخوان در برگیرنده آن تحلیل می رود.

 

اگر دندان افتاده جایگزین نشود (با

برای مشاهده این محتوا لطفاً ثبت نام کنید یا وارد شوید.
یا
برای مشاهده این محتوا لطفاً ثبت نام کنید یا وارد شوید.
یا
برای مشاهده این محتوا لطفاً ثبت نام کنید یا وارد شوید.
)، دندان های کناری و مقابل آن (در فک دیگر) وارد فضای خالی آن می شوند و مشکلات لثه را ایجاد می کنند که منجر به افتادن بقیه دندان ها می شود (تصویر کناری).

 

8- درست نکردن

برای مشاهده این محتوا لطفاً ثبت نام کنید یا وارد شوید.
می تواند باعث افتادن دندان شود.اگر دندان های شما به خوبی ردیف نشده باشند، تمیز کردن آن ها خیلی سخت است. چنین دندان هایی بیشتر دچار پلاک دندان و در نتیجه مشکلات لثه و بافت اطراف دندان می شوند که از علل اصلی افتادن دندان است.

 

 

 

9- اثرات مضر کشیدن سیگار و نوشیدن الکل بر روی سلامت دندان به خوبی شناخته شده است. بر اساس تحقیقات می توان گفت افراد سیگاری دو برابر افراد غیرسیگاری دندان های خود را از دست می دهند.

 

 

 

کشیدن سیگار و استفاده از محصولات دخانی و نوشیدن الکل خطر ابتلا به بیماری های لثه و در نتیجه افتادن دندان ها را افزایش می دهد. سیگار روی جریان خون لثه ها نیز تأثیر می گذارد و شدت بیماری های دندانی را بدتر می کند.

 

 

 

10- حتما می دانید بیماری دیابت به چشم ها، اعصاب، کلیه ها و قلب آسیب می زند و مقاومت بدن به بیماری های عفونی را کم می کند و فرایند بهبودی و التیام (مثلا التیام زخم ها) را آهسته می نماید. اما آیا می دانستید که

برای مشاهده این محتوا لطفاً ثبت نام کنید یا وارد شوید.
؟

 

دیابت، قدرت دفاعی و ایمنی بدن را کم می کند و تشکیل پلاک دندان را افزایش می دهد. در افراد دیابتی، بیماری لثه بیشتر اتفاق می افتد، شدیدتر است و زمان بیشتری طول می کشد تا بهبود یابد.

 

 

در مراحل پشرفته بیماری لثه، استخوان و بافت همبند دهان از بین می رود و در نتیجه باعث افتادن دندان می شود.

ارسال شده در

[h=1]چگونه بفهمیم لثه مان بیمار شده؟[/h]

2341871641721024513981894352107133012145.jpg

تا به حال برایتان پیش آمده است که لثه‌های شما پیوره کرده باشد؟ حتما از خون‌ریزی و درد و عفونت لثه‌هایتان به ستوه آمده‌اید، ولی پیوره (بیماری لثه) نشانه این است که به لثه‌هایتان خوب نرسیده‌اید.

ما در اینجا تعدادی از سئوالات اصلی مردم درباره سلامت لثه و پاسخ‌های آنها را برای شما آورده‌ایم.

 

 

[h=2]1- آیا راهی وجود دارد که من بتوانم از سلامت لثه‌هایم مطمئن شوم؟[/h]

لثه ی سالم، بین دندان‌ها را پُر می‌کند، از این رو حالت کنگره‌ای دارد. رنگ آن صورتی متمایل به قرمز است و در فرد بالغ در حد طوق (فاصله بین تاج و ریشه) قرار دارد. بین لثه و دندان در حالت عادی شیار باریکی وجود دارد که به آن شیار لثه می‌گویند و عمقی حداکثر تا حدود 3 میلی متر دارد. سطح لثه در حالت طبیعی دان دان است. تغییر در هر کدام از موارد فوق می‌تواند نشانه‌ای از بیماری لثه باشد.

 

 

[h=2]2- پلاک میکروبی و جرم دندان چیست؟[/h]

پلاک میکروبی لایه‌ای است نازک از میکروب‌ها که به طور دایمی، بر سطح دندان‌ها می‌نشیند و در داخل دهان تمام افراد بالغ وجود دارد.

این لایه دارای مواد پروتئینی و سلول‌های پوششی و موادی دیگر با منشا بزاقی است.اما ساختمان اصلی این پلاک از میکروب‌ها تشکیل شده است. اگر یک گرم پلاک را به صورت خشک تهیه نماییم، دارای دویست میلیارد باکتری است. این لایه با شستشوی آب برطرف نمی‌شود و باید با

برای مشاهده این محتوا لطفاً ثبت نام کنید یا وارد شوید.
زدن آن را تمیز نمود.

با سخت شدن تدریجی پلاک میکروبی، لایه‌ای به نام

برای مشاهده این محتوا لطفاً ثبت نام کنید یا وارد شوید.
تشکیل می‌گردد که به علت داشتن سطح زبر، مقادیر بیشتری پلاک میکروبی را بر سطح خود نگه می‌دارد.

 

 

[h=2]3- چرا بعضی لثه‌ها پیوره می‌کنند؟[/h]

از این تعداد بی شمار میکروبی که در پلاک دندان وجود دارند، عده‌ای برای لثه به شدت بیماری‌زا هستند و در صورت تمیز نکردن دقیق دندان‌ها، سبب بروز بیماری‌های لثه می‌گردند.

 

 

[h=2]4- از کجا بفهمیم لثه مان بیمار شده است؟[/h]

مهم‌ترین بیماری‌های لثه عبارتند از ژنژیویت Gingivits (التهاب لثه) و پریودنتیت Periodontal (تخریب استخوان اطراف دندان).

22776511231331757724147166234241684322299.jpg

در ژنژیویت که به معنای التهاب لثه است، استخوان اطراف دندان سالم است، ولی در پریودنتیت که عامه مردم به آن پیوره می‌گویند، استخوان اطراف دندان دچار تخریب می‌گردد. همواره مسیر پیشرفت بیماری لثه از ژنژیویت به سوی پیوره می‌باشد. پس اگر بیماری لثه در مرحله اول کنترل گردد، می‌توان از تخریب استخوان جلوگیری نمود.

 

 

از مهم‌ترین علایم التهاب لثه می‌توان به خون‌ریزی از لثه و تغییر رنگ آن اشاره نمود. در بسیاری از موارد، لثه در اثر التهاب، نرم و متورم می‌گردد و گاهی اوقات لثه دچار افزایش حجم نیز می‌گردد.

 

 

تبدیل ژنژیویت به پیوره معمولاً به دلیل عدم رعایت کافی بهداشت دهان و مستعد بودن فرد خصوصاً از نظر عوامل ایمنی بدن صورت می‌گیرد. علایم پیوره شامل خون‌ریزی از لثه،

برای مشاهده این محتوا لطفاً ثبت نام کنید یا وارد شوید.
، درد مبهم در فک‌ها، احساس درد بین دندان‌ها، احساس خارش در لثه، تمایل به فرو بردن خلال دندان در بین دندان‌ها،‌ ترشح چرک از لثه، لقی دندان، ریخته شدن خون روی بالش، جابه‌جا شدن دندان‌ها،‌ گیر کردن غذا بین دندان‌ها، آبسه ی لثه و ... است. از علایمی ‌که معمولاً مورد نظر دندانپزشک می‌باشد، عمیق شدن شیار لثه است که همگام با تحلیل استخوان صورت می‌گیرد. تحلیل استخوان نیز از روی رادیوگرافی تعیین می‌گردد.

 

 

[h=2]5- آیا پیوره باعث بیماری‌های قلبی می‌شود؟[/h]

امروزه رابطه میان بیماری‌های قلبی‌عروقی (تنگی عروق قلب) و عفونت‌های دهانی (خصوصاً بیماری‌های لثه) شناخته شده است. یک لایه از سلول‌های مرده و کریستال‌های

برای مشاهده این محتوا لطفاً ثبت نام کنید یا وارد شوید.
و پروتئین و.... در داخل رگ‌های قلب با قطر متوسط تشکیل می گردد که به تدریج باعث تنگ شدن عروق قلب می شوند.

مهم‌ترین عوامل مستعدکننده ی ابتلا به بیماری‌های قلبی و عروقی شامل فشا

برای مشاهده این محتوا لطفاً ثبت نام کنید یا وارد شوید.
، کلسترول خون بالا، کشیدن سیگار، افزایش سن،
برای مشاهده این محتوا لطفاً ثبت نام کنید یا وارد شوید.
، استرس و کم‌تحرکی هستند که امروزه عفونت‌های دهانی و بیماری‌های لثه نیز به‌ این عوامل خطر اضافه می‌گردند.

فاکتورهای ایمنی‌ترشح شده در داخل بدن در اثر بیماری لثه، در ایجاد و افزایش پلاک‌های پلاکتی در داخل عروق قلب موثر است. تحقیقات نشان داده‌اند در افرادی که مبتلا به

برای مشاهده این محتوا لطفاً ثبت نام کنید یا وارد شوید.
می‌باشند، میزان بیماری‌های لثه بیش از افراد سالم است.

 

 

[h=2]6- بهترین روش برای پیشگیری از پیوره چیست؟[/h]

بهترین راه حفظ سلامت دهان و دندان ها، استفاده از مسواک است. حداقل دفعات توصیه شده برای مسواک زدن دو بار در شبانه روز می‌باشد. از آنجایی که روش مسواک زدن بیش از تعداد آن، اهمیت دارد، توصیه می‌شود روش صحیح مسواک زدن را از یک دندانپزشک سوال نمایید.

 

 

به نظر دندانپزشکان بهترین روش مسواک زدن دندان ها به این ترتیب است:

 

 

مسواک را با زوایه 45 درجه نسبت به سطح دندان ها نگه دارید و به مسواک حداقل 10 تا 15مرتبه حرکت لرزشی دهید. سپس می‌توانید چند مرتبه مسواک را به سمت نوک تاج بچرخانید. این عمل را ناحیه به ناحیه و سپس در سطح داخل دندان‌ها نیز انجام دهید. از مسواک زدن روی سطوح جونده دندان‌ها نیز غافل نشوید.

22321116162311351553090122206804932147219.jpg

نواحی بین دندان‌ها را باید با نخ دندان و در صورت باز بودن دندان‌ها از یکدیگر با خلال دندان یا برس‌های بین دندان تمیز نمایید.

معاینات منظم دوره‌ای 6 ماه یکبار توسط دندانپزشک، برای بررسی دندان‌ها و لثه‌ها همیشه توصیه می‌گردد.

به خاطر داشته باشید همیشه پیشگیری از درمان بهتر است. پس با رعایت دقیق

برای مشاهده این محتوا لطفاً ثبت نام کنید یا وارد شوید.
سعی کنید از ایجاد بیماری‌های لثه جلوگیری نمایید.

از آنجایی که عامل اصلی تمام بیماری‌های لثه پلاک میکروبی است، منطقی است قبل از ایجاد و پیشرفت بیماری در برطرف کردن آن بکوشیم.

در صورت بروز علایم بیماری‌های لثه، سعی کنید قبل از ایجاد مراحل پیشرفته بیماری، با درمان‌های ساده در نزد دندانپزشک خود از پیشرفت بیماری و از دست رفتن احتمالی دندان‌های ارزشمندتان جلوگیری نمایید.

ارسال شده در

[h=1]ژنژیویت؛ ورم و خونریزی لثه[/h]


ژنژیویت (Gingivitis)‏ یا التهاب لثه به حالتی گفته می‌شود که پلاک‌های دندانی در خط لثه تجمع پیدا می‌کنند و باعث تحریک لثه و حساس شدن آن می‌شوند که گاهی خونریزی هم می‌کند.


برای مشاهده این محتوا لطفاً ثبت نام کنید یا وارد شوید.

ژنژیویت یکی از بیماری های بافت‌ لثه در اطراف دندان است که موجب التهاب و بروز عفونت در این بافت می‌شود و آن را تخریب می‌کند.

 

 

 

اگر

برای مشاهده این محتوا لطفاً ثبت نام کنید یا وارد شوید.
را هر روز با
برای مشاهده این محتوا لطفاً ثبت نام کنید یا وارد شوید.
یا
برای مشاهده این محتوا لطفاً ثبت نام کنید یا وارد شوید.
پاک نکنید، به مرور سفت‌تر شده و ماده‌ای غیرقابل برداشت به نام
برای مشاهده این محتوا لطفاً ثبت نام کنید یا وارد شوید.
(رسوب دندانی) ایجاد می‌کند.

 

 

 

در صورتی که پلاک و جرم به زیر خط لثه گسترش پیدا کند، بیماری ژنژیویت مزمن خواهد شد.

 

 

 

با تحریک مزمن باکتریایی، نسج لثه به تدریج از دندان‌ها جدا می‌شود و حفره‌هایی ایجاد می‌شود که در آنجا چرک تجمع پیدا می‌کند.

 

 

 

با گسترش پلاک و جرم و تداوم تحریک بافت لثه، فرایند کنده شدن لثه‌ها از دندان‌هایتان بیش از پیش ادامه پیدا می‌کند. به این حالت پریودونتیت یا پیوره می‌گویند.

 

 

 

علائم ژنژیویت

 

 

- ورم لثه

 

 

- قرمزی و نرمی لثه

 

 

-

برای مشاهده این محتوا لطفاً ثبت نام کنید یا وارد شوید.
با تحریک اندک (بعد از مسواک زدن) یا به صورت خودبه‌خودی

 

 

-

برای مشاهده این محتوا لطفاً ثبت نام کنید یا وارد شوید.

 

 

- حساس بودن لثه‌ها در هنگام لمس

 

 

-

برای مشاهده این محتوا لطفاً ثبت نام کنید یا وارد شوید.
و نفس

 

 

- به ندرت تب

 

 

وجود پلاک‌ روی‌ دندان‌ها که اغلب این پلاک‌ها حاوی‌ ذرات‌ غذایی‌، میکروب‌ها و مخاط‌ هستند، از علل اصلی ژنژیویت می باشند

 

 

 

علل ژنژیویت

 

از نظر متخصصان، مهم ترین عواملی که موجب بروز ژنژیویت می‌شوند، عبارتند از: ‌

 

 

 

- عامل اصلی و تاثیرگذار عدم رعایت بهداشت صحیح دهان‌ و دندان‌ است.

 

 

 

- وجود پلاک‌ روی‌ دندان‌ها که اغلب این پلاک‌ها حاوی‌ ذرات‌ غذایی‌، میکروب‌ها و مخاط‌ هستند.

 

 

 

- تغذیه‌ نامناسب‌ به ویژه کمبود ویتامین‌ها که‌ باعث‌ بیماری‌هایی‌ مثل‌

برای مشاهده این محتوا لطفاً ثبت نام کنید یا وارد شوید.
‌ یا
برای مشاهده این محتوا لطفاً ثبت نام کنید یا وارد شوید.
می‌شود.

 

 

 

- ابتلا به بیماری‌های‌ خونی‌ مثل‌

برای مشاهده این محتوا لطفاً ثبت نام کنید یا وارد شوید.

 

 

 

- عوارض‌ نامطلوب‌ دارویی مثل واکنش نسبت‌ به‌ داروهای‌ تشنج‌

 

 

 

- گاهی اوقات تغییرات هورمونی در بدن مثل دوران بارداری، دوران بلوغ و نیز درمان با

برای مشاهده این محتوا لطفاً ثبت نام کنید یا وارد شوید.
ها، لثه‌ها را در برابر عفونت‌های باکتریایی حساس و آسیب پذیر می‌کند.

 

-

برای مشاهده این محتوا لطفاً ثبت نام کنید یا وارد شوید.

 

 

 

- عفونت‌ها

 

 

 

- واکنش های نامطلوب دارویی مثل واکنش به داروهایی مثل فنی توئین و باربیتال

 

 

 

- تماس با

برای مشاهده این محتوا لطفاً ثبت نام کنید یا وارد شوید.
و بیسموت

 

 

 

- آسیب لثه ها به هر علتی، مثل مسواک زدن شدید یا آب کشیدن

 

 

برداشتن پلاک از لثه ملتهب ممکن است راحت نباشد، خونریزی و حساسیت لثه ها در عرض 1 تا 2 هفته بعد از شستشوی منظم و مراقبت بهداشتی دقیق باید کاهش یابد

 

 

درمان ژنژیویت

هدف اصلی از درمان ژنژیویت، کاهش التهاب لثه هاست.

 

 

 

دندان ها به طور دقیق توسط دندان پزشک بررسی می شود.

 

 

 

روزانه حداقل یک بار از نخ دندان های موم دار یا بدون موم استفاده کنید.

 

 

 

از

برای مشاهده این محتوا لطفاً ثبت نام کنید یا وارد شوید.
فلوئوردار استفاده کنید و مراجعات منظم به دندان پزشک داشته باشید.

 

 

 

در موارد خاص دندان پزشک با روش های جراحی بافت ملتهب لثه را خارج می کند.

 

 

 

برای مشاهده این محتوا لطفاً ثبت نام کنید یا وارد شوید.
در موارد عفونی و
برای مشاهده این محتوا لطفاً ثبت نام کنید یا وارد شوید.
فلوئوردار نیز از موارد درمانی هستند.

 

 

 

در صورتی که کمبود ویتامین عامل آن باشد باید جبران شود. رژیم غذایی خاصی توصیه نمی شود.

 

از مصرف شیرینی و نوشیدنی های شیرین خودداری کنید. شکر باعث تولید اسید در دهان و تخریب مینای دندان می شود.

 

دندان هایی را که ردیف نیستند، با مراجعه به پزشک ترمیم کنید و ابزار و وسایل ارتودنسی یا دندانپزشکی را بردارید. البته این با مشورت دندان پزشک باید صورت بپذیرد.

 

برداشتن پلاک از لثه ملتهب ممکن است راحت نباشد، خونریزی و حساسیت لثه ها در عرض 1 تا 2 هفته بعد از شستشوی منظم و مراقبت بهداشتی دقیق باید کاهش یابد.

 

 

آب نمک گرم یا شستشوی با آنتی باکتریال ها ورم لثه را کم می کند.

 

 

 

عوارض ژنژیویت

 

 

از عوارض آن می توان عود ژنژیویت، پریودونتیت، عفونت یا آبسه لثه ها یا استخوان های فک باشد.

 

 

ژنژیویت حاد و زخم دهنده از عوارض بسیار نادر آن است.

 

 

برای‌ جرم گیری و درمان‌ پوسیدگی‌ دندان‌ مراجعات‌ منظم به‌ دندانپزشک‌ را فراموش نکنید

 

 

 

پیشگیری از ژنژیویت لذا متخصصان توصیه می‌کنند که به منظور پیشگیری از بروز این بیماری و برای‌ جلوگیری‌ از تشکیل‌ پلاک‌ روی‌ دندان‌ها:

 

 

 

1- بهداشت‌ دهان‌ و دندان‌ را رعایت‌ کنید.

 

 

 

2- روزانه‌ باید از نخ‌ دندان‌ استفاده‌ کنید.

 

 

 

3- حداقل‌ دو نوبت در سال برای معاینه کامل دندان‌ها به‌ دندانپزشک‌ مراجعه‌ کنید.

 

 

 

4- همیشه سعی کنید که یک‌ رژیم‌ غذایی‌ متعادل‌ داشته‌ باشید و در صورت نیاز البته با مشورت پزشک، از مکمل‌های‌ ویتامینی‌ استفاده نمایید.

 

 

 

5- از خمیر دندان‌ فلورایدداراستفاده‌ کنید.

 

 

 

6- برای‌ جرم گیری و درمان‌ پوسیدگی‌ دندان‌ مراجعات‌ منظم به‌ دندانپزشک‌ را فراموش نکنید.

 

 

 

7- حتما

برای مشاهده این محتوا لطفاً ثبت نام کنید یا وارد شوید.
را ترک کنید.

 

 

 

اگر از اقدامات پیشگیرانه و یا درمان به موقع غفلت کنید، بیماری بدتر می‌شود تا جایی که حتی به‌ عمل‌ جراحی‌ نیاز پیدا می‌کند.

ارسال شده در

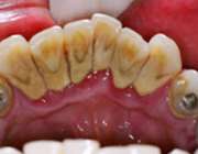
[h=1]هر چند یک بار وقت دندانتان را جرم‌گیری کنید؟[/h]


حتما سالی یک بار، دندان هایتان را جرم گیری کنید. بسیاری از اشخاص با یک بار جرم گیری و رعایت همیشگی بهداشت دهان و دندان، ممکن است تا مدت ها نیازی به جرم گیری دوباره نداشته باشند. بدیهی است که هر گونه کوتاهی در رعایت اصول بهداشت دهان به تجمع دوباره جرم منجر خواهد شد.

 


22024994522714229771391599579131146094.jpg

به یاد داشته باشید روش صحیح

برای مشاهده این محتوا لطفاً ثبت نام کنید یا وارد شوید.
زدن، تشکیل جرم را به حداقل خواهد رساند.

 

 

اگر در موقع مسواک زدن دیدید که از لثه هایتان خون می آید، بدانید که آن ناحیه دچار مشکل است (

برای مشاهده این محتوا لطفاً ثبت نام کنید یا وارد شوید.
شده است) و به دندانپزشک خود مراجعه کنید.

ناحیه ای را که خون می آید، بیشتر مسواک کنید و از خونریزی آن نترسید. مطمئن باشید که با خوب مسواک زدن و بیشتر مسواک زدن، خونریزی به مقدار زیادی کاهش خواهد یافت.

 

 

 

خیر، جرم گیری ضرر ندارد، بلکه جرم دندان مضر است. جرم دندان علاوه بر اینکه برای لثه و بافت های نگهدارنده دندان مضر می باشد، محلی نیز برای تجمع و تکثیر میکروب های

برای مشاهده این محتوا لطفاً ثبت نام کنید یا وارد شوید.
زاست. با عمل جرم گیری، تعداد این میکروب ها در دهان کمتر می شود.

با برداشته شدن جرم، بیمار ممکن است حس کند که دندانش خالی شده است. این احساس همراه با مقداری حساسیت دندان به سرما یا گرما (بعد از جرم گیری)، این تصور غلط را ایجاد می کند که شاید دندان ها در حین جرم گیری تراش خورده باشند، در صورتی که عملکرد دستگاه جرم گیری لرزشی بوده و قادر به تراش دندان نمی باشد.

بعد از جرم گیری، حتما از دهان‌شویه مناسب استفاده نمایید تا در بهبود زخم های به جا مانده از جرم موثر باشد، ولی استفاده مداوم از دهان‌شویه توصیه نمی شود

 

 

 

علت حساسیت دندان به سرما بعد از جرم گیری چیست؟

دندان دارای حس بوده و در ناحیه طوق (محل اتصال لثه با دندان) بسیار حساس تر می باشد. وجود جرم بر طوق دندان به علت ضخامتی که دارد، به صورت یک عایق حرارتی عمل می کند و یا به عبارت دیگر، جلوی حس دندان را می گیرد. با برداشته شدن آن بدیهی است که دندان بهتر متوجه تغییرات حرارتی می گردد.

ضمنا بر اثر وجود جرم، لثه پرخون و متورم شده و با عمل جرم گیری، التهاب (ورم) آن فروکش می کند. لذا مقدار بیشتری از دندان نسبت به حالتی که قبلاً ورم لثه وجود داشته در دهان دیده می شود و این خود باعث احساس بیشتر تغییرات حرارتی می گردد.

برای مشاهده این محتوا لطفاً ثبت نام کنید یا وارد شوید.
به سرما را می توان به احساسی که بدن انسان بعد از استحمام دارد، تشبیه نمود. حساسیت به سرما همیشه به وجود نمی آید و در صورت ایجاد، موقتی بوده و جای هیچ‌گونه نگرانی ندارد.

 

 

 

آیا دندان بعد از جرم گیری لق می شود؟

 

 

خیر، با تجمع تدریجی جرم بر دندان، لثه و به دنبال آن مقداری از استخوان نگهدارنده دندان تحلیل می رود. در حقیقت دندان به این دلیل قبلا لق می شود، ولی به علت انباشتگی و یکپارچگی جرم و چسبیده شدن دندان ها به هم توسط آن، این حالت درک نشده و با برداشتن جرم، آشکارمی گردد و بیمار لق شدن دندان را به علت جرم گیری می داند.

پس لق شدن دندان مربوط به تحلیل استخوان و بافت های نگهدارنده دندان بر اثر جرم و پلاک میکروبی است، نه در اثر جرم‌گیری.

 

 

 

2271718411579140251203433424918513078096.jpg

آیا جرم گیری درد دارد؟

 

 

خیر، موردی برای بی حس کردن دندان به هنگام جرم گیری وجود ندارد.

جرم گیری یا توسط قلم های دستی و یا با دستگاه صورت می گیرد.

نوک قلم دستگاه جرم گیری دارای لرزش و نوساناتی می باشد که با زدن ضربه های بسیار کوتاه بر جرم، آن را پاک می کند و دندان را نمی تراشد.

آب دستگاه نیز علاوه بر تمیز کردن و شستشو، دندان را نیز خنک می کند.

 

 

 

چند مدت یک بار، دندان ها را جرم گیری کنیم؟

 

 

حتما سالی یک بار، دندان هایتان را جرم گیری کنید.

بسیاری از اشخاص با یک بار جرم گیری و رعایت همیشگی بهداشت دهان و دندان، ممکن است تا مدت ها نیازی به جرم گیری دوباره نداشته باشند. بدیهی است که هر گونه کوتاهی در رعایت اصول بهداشت دهان به تجمع دوباره جرم منجر خواهد شد.

ضمنا بعضی از بیماران به علت دارا بودن بزاقی خاص از نظر میزان ترشح و ترکیب، بسیار مستعد به تشکیل جرم هستند.

همچنین استعداد ابتلا به به بیماری های لثه در برخی از خانواده ها بیشتر می باشد. به این گروه از بیماران توصیه می گردد جرم گیری دندان در تناوب زمانی کوتاه تری انجام شود.

 

 

 

بعد از جرم گیری دندان چه کنیم؟

 

 

در صورتی که بعد از جرم گیری، دندان‌هایتان به سرما و گرما حساس شد، نگران نباشید، زیرا به مرور رفع خواهد شد و برای کاهش سریع تر حساسیت می توانید از خمیر دندان مخصوص دندان های حساس برای مدتی استفاه کنید. برای خرید

برای مشاهده این محتوا لطفاً ثبت نام کنید یا وارد شوید.
مناسب می توانید از دندانپزشک خود، در این باره سئوال کنید.

بعد از جرم گیری، حتما از

برای مشاهده این محتوا لطفاً ثبت نام کنید یا وارد شوید.
مناسب استفاده نمایید تا در بهبود زخم های به جا مانده از جرم موثر باشد. استفاده مداوم از دهان‌شویه توصیه نمی شود و یک هفته بعد از جرم گیری می توانید استفاده از دهانشویه را قطع کنید.

×
×
  • اضافه کردن...